Mình 30 tuổi và gần đây đã quyết định phải bắt đầu chỉnh sửa lại hàm răng. Răng mình bị khấp khểnh và một răng cửa bên ở hàm trên đâm ngang. Sau khi tham khảo nhiều nơi trong vài tháng thì cuối cùng mình đã...
Tôi 50 tuổi, trước kia đã cân nhắc đến phương pháp dán Veneer nhưng lại sợ là các mặt dán sẽ bong ra nên sau đó lại tìm hiểu về niềng răng trong suốt Invisalign nhưng vì nghĩ là không đủ kiên nhẫn để đeo niềng...
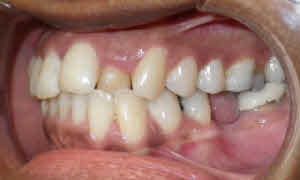
Chào mọi người. Mình muốn viết về hành trình niềng răng (một lần nữa) của mình. Trước kia mình đã từng dùng niềng trong suốt Invisalign khi còn đi học nhưng mà hồi đấy do mình lười, không tự giác đeo niềng nên...
Mình muốn chỉnh răng từ rất lâu rồi nhưng lúc đấy không đủ khả năng. Bây giờ đi làm rồi thì mới thực hiện được mong muốn này. Mình có hỏi qua nha sĩ của mình về việc niềng răng và nha sĩ có nói là mình cần phải...
Bài viết này là những trải nghiệm thật của mình khi niềng răng truyền thống. Hi vọng có ích cho những người đang có ý định niềng răng! Mình là nữ, 27 tuổi, răng hơi khấp khểnh và răng nanh của mình bị quay...
Chào mọi người, Sau đây là bài đánh giá của mình về trải nghiệm khi dùng niềng răng Six Month Smile. Ban đầu thì mình muốn dán sứ Veneer cơ nhưng mà đắt quá và khi dán sứ thì nha sĩ sẽ phải mài đi một phần răng...
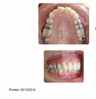
Mình bắt đầu niềng răng vào tháng 5 năm 2014 vì hàm trên của mình hơi vẩu. Môi mình không khép kín lại được khi ở trạng thái nghỉ. Nha sĩ nói là sẽ cần đeo niềng từ 18 - 24 tháng. Ban đầu thì chỉ cần nắn chỉnh...
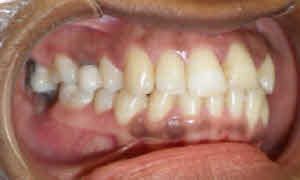
Hàm răng của tôi từ nhỏ đã rất thưa và trước kia tôi rất hiếm khi khám nha sĩ. Tôi muốn niềng răng từ khi còn đi học nhưng vì điều kiện không cho phép nên chưa thực hiện được. Nhiều người nói là không sao nhưng...
Chào mọi người, mình là nữ, 35 tuổi, trước đây đã từng niềng răng kim loại hồi học trung học rồi sau đó khi lớn thì dùng niềng răng trong suốt Invisalign vì có hai chiếc răng bị lệch trở lại do không đeo hàm...



