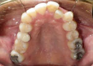
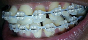
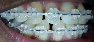
Mình 30 tuổi và gần đây đã quyết định phải bắt đầu chỉnh sửa lại hàm răng. Răng mình bị khấp khểnh và một răng cửa bên ở hàm trên đâm ngang. Sau khi tham khảo nhiều nơi trong vài tháng thì cuối cùng mình đã chọn được nơi thích hợp. Mình đã cân nhắc đến niềng trong suốt Invisalign nhưng sau đó lại chọn niềng răng truyền thống mắc cài sứ vì mình cảm thấy chắc chắn không thể tuân thủ việc đeo khay niềng mỗi ngày. Ngoài ra, lý do chính mà nhiều người chọn niềng trong suốt Invisalign là vì không muốn người khác nhận ra mình đang đeo niềng nhưng với mình thì điều này không cần thiết lắm, chẳng có lý do gì phải ngại việc niềng răng cả. Hơn nữa, với vị trí chiếc răng cần chỉnh sửa của mình thì kiểu gì người khác cũng nhận ra.
Mình rất mong đến ngày niềng răng. Mình có được biết là khi đeo niềng thì thức ăn sẽ bị giắt trong răng nhưng không sao, chỉ ăn những đồ không cần nhai nhiều là được.
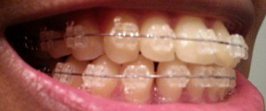
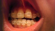
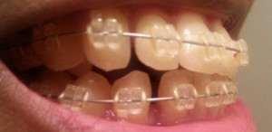
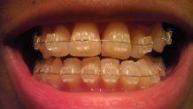
Ở chỗ phòng khám mình chọn thì cũng có niềng trong suốt Invisalign nhưng lúc mình đến tư vấn thì bác sĩ khuyên là nên chọn niềng răng truyền thống. Tất nhiên, mình hoàn toàn có thể chọn một trong hai cách. Sau khi suy nghĩ một lúc thì mình nghĩ niềng răng truyền thống chắc sẽ tốt hơn và dễ có kết quả như mong muốn hơn vì quá trình niềng được bác sĩ điều chỉnh liên tục. Còn với niềng Invisalign thì kết quả sẽ phụ thuộc nhiều vào ý thức mỗi người và mình nghĩ là không phù hợp với mình.
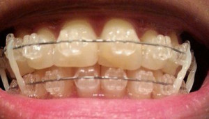
Hôm đến tư vấn lần đầu, bác sĩ đã trả lời tất cả các câu hỏi mà mình đưa ra nên mình thấy rất ưng ý. Một điểm cộng nữa ở phòng khám mà mình chọn là có cả thiết bị Acceledent. Đây là thiết bị có tác dụng tăng tốc độ chỉnh nha và sau khi nghe giải thích thì mình rất muốn dùng. Hôm nay, mình đã đến phòng khám một lần nữa để bác sĩ đo kích thước miệng nhằm thiết kế máng nhai của máy Acceledent. Bác sĩ sử dụng máy quét iTero để đo kỹ thuật số và lập sơ đồ răng. Quá trình này mất khoảng 15 phút và không đau, chỉ hơi khó chịu vì kỹ thuật viên phải kéo môi mình ra và thiết bị thổi khí để vào để làm khô miệng. Họ chụp ảnh hàm răng mình và chụp X-quang. Mình sẽ quay lại sau một tuần nữa để gắn mắc cài và nhận máy Acceledent. Mình rất hào hức. Mình sẽ cố gắng cập nhật sau mỗi tuần, nhưng có thể sẽ chỉ đăng ảnh hoặc cập nhật ngắn thôi.
Nhiều người thường nghĩ là quá tuổi niềng răng rồi thì thôi, cứ để như vậy cũng được nhưng đừng nghĩ như thế, dù là ở tuổi nào thì bạn cũng có quyền làm cho mình đẹp hơn mà. Ngoài cải thiện về mặt thẩm mỹ ra thì niềng răng còn có thể khắc phục vấn đề về khớp cắn mà nếu bạn để kệ như vậy thì có thể sẽ dẫn đến các vấn đề nghiêm trọng khác nữa.
Mình rất mong đến ngày niềng răng. Mình có được biết là khi đeo niềng thì thức ăn sẽ bị giắt trong răng nhưng không sao, chỉ ăn những đồ không cần nhai nhiều là được.
Ở chỗ phòng khám mình chọn thì cũng có niềng trong suốt Invisalign nhưng lúc mình đến tư vấn thì bác sĩ khuyên là nên chọn niềng răng truyền thống. Tất nhiên, mình hoàn toàn có thể chọn một trong hai cách. Sau khi suy nghĩ một lúc thì mình nghĩ niềng răng truyền thống chắc sẽ tốt hơn và dễ có kết quả như mong muốn hơn vì quá trình niềng được bác sĩ điều chỉnh liên tục. Còn với niềng Invisalign thì kết quả sẽ phụ thuộc nhiều vào ý thức mỗi người và mình nghĩ là không phù hợp với mình.
Hôm đến tư vấn lần đầu, bác sĩ đã trả lời tất cả các câu hỏi mà mình đưa ra nên mình thấy rất ưng ý. Một điểm cộng nữa ở phòng khám mà mình chọn là có cả thiết bị Acceledent. Đây là thiết bị có tác dụng tăng tốc độ chỉnh nha và sau khi nghe giải thích thì mình rất muốn dùng. Hôm nay, mình đã đến phòng khám một lần nữa để bác sĩ đo kích thước miệng nhằm thiết kế máng nhai của máy Acceledent. Bác sĩ sử dụng máy quét iTero để đo kỹ thuật số và lập sơ đồ răng. Quá trình này mất khoảng 15 phút và không đau, chỉ hơi khó chịu vì kỹ thuật viên phải kéo môi mình ra và thiết bị thổi khí để vào để làm khô miệng. Họ chụp ảnh hàm răng mình và chụp X-quang. Mình sẽ quay lại sau một tuần nữa để gắn mắc cài và nhận máy Acceledent. Mình rất hào hức. Mình sẽ cố gắng cập nhật sau mỗi tuần, nhưng có thể sẽ chỉ đăng ảnh hoặc cập nhật ngắn thôi.
Nhiều người thường nghĩ là quá tuổi niềng răng rồi thì thôi, cứ để như vậy cũng được nhưng đừng nghĩ như thế, dù là ở tuổi nào thì bạn cũng có quyền làm cho mình đẹp hơn mà. Ngoài cải thiện về mặt thẩm mỹ ra thì niềng răng còn có thể khắc phục vấn đề về khớp cắn mà nếu bạn để kệ như vậy thì có thể sẽ dẫn đến các vấn đề nghiêm trọng khác nữa.



