Mình muốn chỉnh răng từ rất lâu rồi nhưng lúc đấy không đủ khả năng. Bây giờ đi làm rồi thì mới thực hiện được mong muốn này. Mình có hỏi qua nha sĩ của mình về việc niềng răng và nha sĩ có nói là mình cần phải nhổ răng khôn trước khi bắt đầu. Vậy nên mình đã nhổ cả 4 răng khôn, chờ một vài tuần và sau đó đến tư vấn với cả nha sĩ thường và bác sĩ chỉnh nha nhưng sau đó thì mình quyết định chọn bác sĩ chỉnh nha. Bác sĩ có tư vấn và trả lời cặn kẽ các thắc mắc của mình.
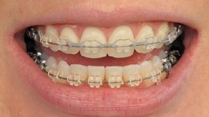
Theo như bác sĩ nói thì mình không phù hợp với niềng răng trong suốt Invisalig nên mình chỉ còn lựa chọn là niềng răng truyền thống thôi. Phòng khám mà mình chọn có cả mắc cài kim loại và mắc cài trong suốt. Mình chọn loại trong suốt nhưng mà các band (khâu) được gắn lên răng hàm thì vẫn là bằng kim loại.
Thời gian mình cần đeo niềng được ước tính là 18 - 24 tháng, trong đó đã bao gồm thời gian đeo hàm nâng khớp cắn và đeo thun kéo. Bác sĩ nói là có thể tạm thời tháo bỏ mắc cài hôm diễn ra đám cưới rồi sau đó sẽ thay mắc cài mới nhưng mình phải trả thêm phí. Mình chọn mắc cài sapphire vì loại này trong hơn nhiều so với các mắc cài trong suốt khác.
Mình có hỏi về vấn đề chun buộc trong suốt bị ngả màu thì bác sĩ có nói là họ sử dụng dây buộc kim loại màu trắng cho mắc cài trong suốt nên không bị ngả màu nhưng như thế thì quá trình lắp niềng sẽ mất thời gian hơn. Ngoài ra, bác sĩ sử dụng dây cung kim loại có màu chứ không phải là màu trắng, mình rất ưng điểm này vì loại màu trắng thường bị bong lớp phủ bên ngoài.
Ngày hôm qua, bác sĩ đã tiến hành đặt thun tách kẽ cho mình để tạo chỗ lắp band vào các răng hàm bên trong. Hình như bác sĩ nói sẽ lắp band trên cả 8 răng hàm và thêm cả 4 răng tiền hàm thứ 2 nữa. Lúc về nhà thì mình mới để ý là khi cười, mình bị lộ các răng tiền hàm thứ hai ở hàm trên nên trong buổi hẹn tiếp theo, mình sẽ hỏi bác sĩ xem có thể chuyển từ gắn band sang gắn mắc cài thông thường cho 2 chiếc răng đó không. Các chun tách kẽ không gây đau lắm, chỉ trừ khi nhai đồ ăn nhưng nếu nhai nhẹ nhàng thì cũng không sao cả. Nhiều người nói là lúc đặt chun tách kẽ sẽ rất đau nhưng chắc vì trước kia mình bị khô xương ổ răng khi nhổ răng khôn nên giờ cảm thấy cơn đau này chẳng là gì cả. Mình có đính kèm một số ảnh chụp răng mình trước khi đặt chun tách kẽ.
Theo như bác sĩ nói thì mình không phù hợp với niềng răng trong suốt Invisalig nên mình chỉ còn lựa chọn là niềng răng truyền thống thôi. Phòng khám mà mình chọn có cả mắc cài kim loại và mắc cài trong suốt. Mình chọn loại trong suốt nhưng mà các band (khâu) được gắn lên răng hàm thì vẫn là bằng kim loại.
Thời gian mình cần đeo niềng được ước tính là 18 - 24 tháng, trong đó đã bao gồm thời gian đeo hàm nâng khớp cắn và đeo thun kéo. Bác sĩ nói là có thể tạm thời tháo bỏ mắc cài hôm diễn ra đám cưới rồi sau đó sẽ thay mắc cài mới nhưng mình phải trả thêm phí. Mình chọn mắc cài sapphire vì loại này trong hơn nhiều so với các mắc cài trong suốt khác.
Mình có hỏi về vấn đề chun buộc trong suốt bị ngả màu thì bác sĩ có nói là họ sử dụng dây buộc kim loại màu trắng cho mắc cài trong suốt nên không bị ngả màu nhưng như thế thì quá trình lắp niềng sẽ mất thời gian hơn. Ngoài ra, bác sĩ sử dụng dây cung kim loại có màu chứ không phải là màu trắng, mình rất ưng điểm này vì loại màu trắng thường bị bong lớp phủ bên ngoài.
Ngày hôm qua, bác sĩ đã tiến hành đặt thun tách kẽ cho mình để tạo chỗ lắp band vào các răng hàm bên trong. Hình như bác sĩ nói sẽ lắp band trên cả 8 răng hàm và thêm cả 4 răng tiền hàm thứ 2 nữa. Lúc về nhà thì mình mới để ý là khi cười, mình bị lộ các răng tiền hàm thứ hai ở hàm trên nên trong buổi hẹn tiếp theo, mình sẽ hỏi bác sĩ xem có thể chuyển từ gắn band sang gắn mắc cài thông thường cho 2 chiếc răng đó không. Các chun tách kẽ không gây đau lắm, chỉ trừ khi nhai đồ ăn nhưng nếu nhai nhẹ nhàng thì cũng không sao cả. Nhiều người nói là lúc đặt chun tách kẽ sẽ rất đau nhưng chắc vì trước kia mình bị khô xương ổ răng khi nhổ răng khôn nên giờ cảm thấy cơn đau này chẳng là gì cả. Mình có đính kèm một số ảnh chụp răng mình trước khi đặt chun tách kẽ.



