Niềng răng và bị hôi miệng
- 1 trả lời
- 1281 lượt xem
Em đang niềng răng được 2 tuần rồi. Tuần 1 niềng răng thì răng tốt. Sau đó bác sĩ hẹn đi nhổ răng khôn 2 cái hàm dưới. Sau khi nhổ răng khôn thì miệng em rất hôi. Được 2, 3 ngày thì tình trạng hôi bớt đi.....
Làm thế nào để tháo niềng sớm hơn?
- 1 trả lời
- 1278 lượt xem
Em đang phải niềng răng và bác sĩ nói là sẽ cần đeo niềng trong 2 năm. Có cách nào để có thể tháo niềng sớm hơn được không ạ?
Mất răng vĩnh viễn thì nên niềng răng hay trồng răng Implant?
- 1 trả lời
- 1265 lượt xem
Em 20 tuổi và bị mất một răng ở hàm trên bên phải. Không biết bây giờ em nên niềng răng để kéo răng lại hay trồng răng Implant vào đó ạ?
Có thể niềng răng sau khi đã trồng răng Implant không?
- 1 trả lời
- 1256 lượt xem
Hồi còn đi học tôi đã từng niềng răng để khắc phục răng thưa và khớp cắn sâu. Tôi đã tháo niềng được khá lâu rồi và vừa mới trồng răng Implant xong (ở chỗ răng cửa bên). Sau khi tháo niềng được 1 năm thì tôi...
Niềng răng có làm hỏng răng không?
- 1 trả lời
- 1255 lượt xem
Em đang định niềng răng nhưng nghe nói là răng có thể sẽ bị hỏng. Các bác sĩ tư vấn cho em với ạ
Cách điều trị khớp cắn chéo
- 1 trả lời
- 1241 lượt xem
Tình trạng khớp cắn chéo của tôi có nghiêm trọng không và làm thế nào để điều trị?
3 thắc mắc trước khi niềng răng
- 1 trả lời
- 1213 lượt xem
1. Răng em không bị gì nhiều chỉ là khi cười hở lợi ( chỉ hở hai bên như hình chứ ở giữa bình thường). Nếu vậy thì niềng có hết không ạ? 2. Mặt em to do hàm vuông, niềng có giúp thu gọn hàm không? À mặt em còn...
Hàm duy trì kim loại có chắc không?
- 1 trả lời
- 1193 lượt xem
Em muốn hỏi hàm duy trì loại này có bền không? Giữ răng có tốt không? Chứ em mới gắn tối hôm kia mà bây giờ đã bị tuột ra. Chiều lại phải ra bác sĩ gắn lại. Mới đầu em dùng hàm duy trì loại khay trong suốt. Giờ...
Tác hại của việc nhổ răng tiền hàm
- 1 trả lời
- 1189 lượt xem
Chào các bác sĩ, Em mới niềng răng được 1 tháng do bị khớp cắn sâu. Bác sĩ đưa ra ba lựa chọn là đeo thun liên hàm, lò xo kim loại hoặc nhổ đi 2 răng tiền hàm ở hàm trên, trong đó nếu nhổ răng thì sẽ rút ngắn...
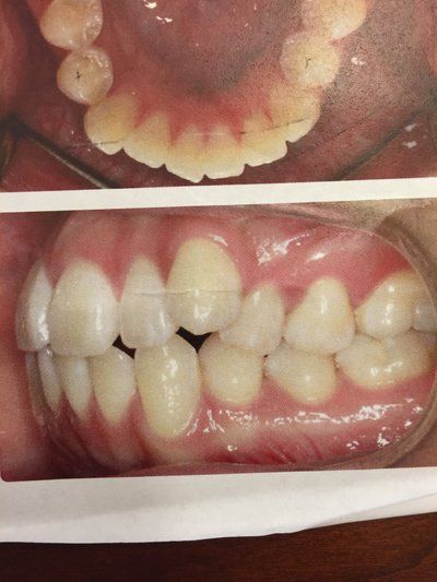
Khí cụ nong rộng hàm có tác dụng không?
- 1 trả lời
- 1178 lượt xem
Em 22 tuổi và có vấn đề ở 4 răng cửa hàm trên như hình. Em mới đi khám bác sĩ thì họ bảo là cần đeo khí cụ nong hàm trong khoảng 3 tháng để tạo thêm khoảng trống nắn thẳng răng. Còn nếu sau đó không có hiệu quả...
Nếu đã từng rút tủy răng thì còn có thể niềng răng được không?
- 1 trả lời
- 1162 lượt xem
Răng cửa của tôi đã từng được rút tủy và phải bọc răng sứ do răng không còn chắc khỏe như trước. Liệu giờ tôi còn có thể niềng răng được nữa không? Nếu niềng thì răng có di chuyển được không?
Răng cửa bên bị xoay, nên dán sứ Veneer hay niềng răng?
- 1 trả lời
- 1113 lượt xem
Răng cửa bên ở hàm trên của tôi bị xoay thì nên dán sứ Veneer hay niềng răng để khắc phục?
Nhược điểm của niềng răng
- 1 trả lời
- 1098 lượt xem
Các bác sĩ cho tôi hỏi niềng răng có những nhược điểm gì?
Răng hô hàm trên liệu chỉ cần niềng hàm trên hay niềng cả 2 hàm?
- 1 trả lời
- 1097 lượt xem
Em 20 tuổi, răng em có bị hô hàm trên, em muốn niềng không biết là nên niềng nguyên hàm hay chỉ một hàm trên thôi?
Niềng răng hô có cần nhổ răng không?
- 1 trả lời
- 1095 lượt xem
Mình 24 tuổi, đang định niềng, tình trạng hơi hô nhẹ để ý kĩ mới thấy. Bác sĩ tư vấn mình 2 phương án: 1. Niềng không nhổ xoay răng đúng vị trí thì thời gian ~1 năm nhưng k hết hô 2. Niềng có nhổ 4 răng số 4...
Em vừa nhổ răng 1 ngày trước, nha sĩ gắng thun cho e, e ko biết có nên gỡ thun ra không tại nó khá khó khăn khi em đánh răng ạ
- 0 trả lời
- 1090 lượt xem
Hỏi về việc có nên tháo thun sau khi nhổ răng hay không
So sánh niềng răng mắc cài tự buộc và mắc cài sứ
- 1 trả lời
- 1089 lượt xem
Theo em biết thì có niềng răng mắc cài tự buộc của Damon gì đó. Nó có gì khác so với niềng răng mắc cài sứ? Em nên dùng mắc cài tự buộc hay mắc cài sứ nhỉ. Liệu dùng sứ có nhanh vỡ không, em đang phân vân 2...
Mặt bị nhỏ lại do niềng răng
- 1 trả lời
- 1069 lượt xem
Em hiện đang phải niềng răng lần thứ hai, trước đây em đã từng niềng một lần rồi nhưng chỉ sau 17 tháng là tháo ra do bác sĩ bảo phải nhổ đi 4 răng số 4 mà em lại không muốn. Lần này, em đến gặp bác sĩ khác và...
Có thể khắc phục vẩu mà không cần nhổ răng không?
- 1 trả lời
- 986 lượt xem
Tôi bị vẩu nên đang phải niềng răng. Bác sĩ nói với tôi là cần phải nhổ đi 4 chiếc răng số 4 nên tôi thấy hơi lo. Nếu bắt buộc phải nhổ và không ảnh hưởng gì đến mặt thì cũng không sao nhưng tôi nghe nói là nếu...
Nếu một mắc cài bung ra thì có làm sao không?
- 1 trả lời
- 981 lượt xem
Em đang niềng răng và có một mắc cài bị bung ra. Như thế liệu có làm sao không và có cần đi thay luôn không?
Niềng răng hay mài ốp răng sứ?
- 1 trả lời
- 929 lượt xem
E muốn hỏi 1 chút là răng em bị khập khiễng thế này thì có phải niềng ko ạ? E chỉ muốn mài đi cái đó rồi ốp răng khác vào có đc ko ạ?
Cần nhổ mấy răng để có thể niềng răng
- 1 trả lời
- 856 lượt xem
Tôi đã đi gặp hai bác sĩ và đều được khuyên là phải nhổ răng. Một bác sĩ bảo là phải nhổ đi chiếc răng khôn ở hàm trên để kéo các răng vào bên trong. Bác sĩ kia lại bảo là nhổ răng tiền hàm ở hàm trên bên trái...
Nên niềng mắc cài hay invisalign cho tình trạng răng khấp khểnh vùng răng cửa, hô ở mức trung bình
- 0 trả lời
- 821 lượt xem
Xin chào các bác sỹ Em đã đi tư vấn, các nha khoa đều đưa ra 2 lựa chọn mắc cài hoặc invisalign. Vậy em xin hỏi với trường hợp của em, phương pháp nào tối ưu, hiệu quả, tiết kiệm thời gian và an toàn hơn? Em...
Đặt thun kẽ một ngày và cảm giác đau khó chịu
- 1 trả lời
- 793 lượt xem
Sau một thời gian đắn đo, hôm qua em đã quyết định niềng răng. Hôm qua bác sĩ đặt chun kẽ, lúc đầu thì thấy chỉ hơi vương 1 chút, nhưng sang đến ngày hôm nay thì em có cảm giác hơi nhức răng, cảm thấy rất khó...
Bác sỹ cho em hỏi :
- 0 trả lời
- 727 lượt xem
Sau khi phẫu thuật hàm hô em bị lệch khớp cắn lẫn hàm nhai, hiện tại bác sỹ phẫu thuật cho em bảo hành niềng răng ( vì trước khi phẫu thuật hàm hô em không bị lệch khớp cắn lẫn hàm nhai) bác sỹ nói 2 năm. Vậy...
Đã niềng răng rồi mà vẫn bị khớp cắn hở?
- 1 trả lời
- 720 lượt xem
Tôi đã niềng răng rồi mà vẫn không thể điều trị được khớp cắn hở thì còn có những cách nào khác?
Mới lắp niềng thì sẽ có cảm giác như thế nào?
- 1 trả lời
- 715 lượt xem
Bao lâu sau khi lắp niềng thì sẽ bắt đầu cảm thấy đau răng? Tình trạng này có kéo dài suốt cả quá trình niềng răng không?
niềng răng
- 1 trả lời
- 687 lượt xem
Cho e hỏi Nếu như mà mình bọc sứ xong mai mốt mình tháo ra rồi mình niềng đc k ạ ?
Mắc cài hay Invisalign hiệu quả hơn cho răng khấp khểnh vùng răng cửa và có hô ở mức trung bình
- 0 trả lời
- 680 lượt xem
Xin chào các bác sỹ Sau khi đi tư vấn, các nha khoa đều đưa ra cho em 2 lựa chọn niềng mắc cài hoặc máng invisalign đều được. Em xin hỏi phương pháp nào cho hiệu quả chỉnh nha tối ưu và tiết kiệm thời gian...






































