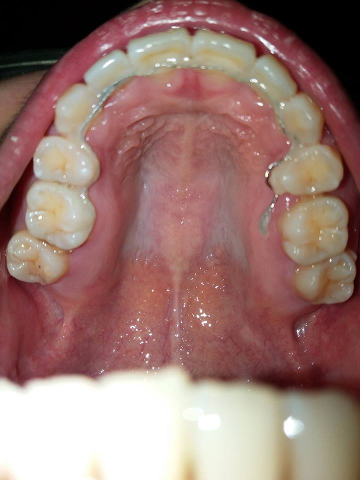
Hàm duy trì kim loại có chắc không?
Thông thường thì hàm duy trì được gắn rất chắc vào mặt sau của răng bằng keo composite nên nếu bị bong ra thì có thể là do bác sĩ đã gắn chưa chắc.
Loại hàm duy trì này có ưu điểm là được gắn cố định vào răng nên không cần phải nhớ đeo mỗi ngày, không lo bị mất, độ bền cao hơn, không ảnh hưởng đến việc nói chuyện nhưng lại có nhược điểm là gây khó khăn cho việc vệ sinh răng miệng hàng ngày, mảng bám và cao răng có thể tích tụ xung quanh, gây kích ứng lưỡi và các răng vẫn có thể bị xô lệch theo thời gian. Trong khi đó, mặc dù hàm duy trì tháo lắp có thể bị mờ đục và cần thay sau khoảng một năm nhưng lại giữ cố định tốt hơn cho toàn hàm, dễ dàng tháo ra lắp vào nên thuận tiện cho việc ăn uống vệ sinh răng miệng. Nói chung, việc lựa chọn cũng còn tùy thuộc vào bạn nữa. Vì luôn phải giữ răng cố định sau khi tháo niềng nên nếu bạn hay quên thì nên chọn hàm duy trì cố định, còn nếu không thì hàm duy trì tháo lắp sẽ thuận tiện và hiệu quả hơn. Đôi khi có thể sẽ cần đeo cả hàm duy trì tháo lắp và hàm duy trì cố định.
Sau khi niềng răng thì nên dùng loại hàm duy trì nào, nhựa trong suốt hay kim loại?
Tôi đeo niềng răng 18 năm trước. Sau đó bác sĩ cho tôi dùng hàm duy trì trông giống như niềng răng trong suốt Invisalign. Tôi rất thích chiếc hàm duy trì này vì nó giữ cho răng tôi thẳng hàng trong suốt nhiều năm. Nhưng khi tôi làm mất nó và đến gặp một bác sĩ khác để mua một chiếc mới thì bác sĩ lại đưa cho tôi hàm duy trì bằng kim loại. Tôi nhận thấy khi dùng loại hàm duy trì kim loại này thì răng không được thẳng như hàm bằng nhựa mà tôi dùng trước đây. Có phải hàm kim loại không tốt bằng hàm nhựa không?
- 6 trả lời
- 12739 lượt xem
Phân vân niềng răng mắc cài sứ và mắc cài kim loại điều trị răng hô vẩu
Em năm nay 25 tuổi muốn niềng để cải thiện tình trạng răng hô. Vì công việc của em phải tiếp xúc với nhiều người nên em đang phân vân giữa mắc cài sứ và mắc cài kim loại. Các bác sĩ có thể tư vấn được không ạ?
- 1 trả lời
- 1792 lượt xem
Tôi trồng 3 răng giả, tôi có thể niềng răng hay dùng hàm duy trì không?
Tôi có ba răng giả, 2 răng nanh và một răng tiền hàm ở hàm trên. Tôi nhận thấy hai răng cửa đang có dấu hiệu chìa ra ngoài. Tôi nên dùng hàm duy trì hay niềng răng để đẩy răng lại vị trí cũ?
- 3 trả lời
- 2976 lượt xem
Hàm duy trì có thể dịch chuyển lại răng sau khi tháo niềng răng 6 tháng không?
Tôi đã tháo niềng 6 tháng trước. Kể từ đó tôi không dùng hàm duy trì nên răng bị xô lệch. Nếu như bây giờ tôi dùng hàm duy trì thì liệu răng tôi có thẳng trở lại không?
- 7 trả lời
- 12362 lượt xem
Có thể dùng hàm duy trì thay cho niềng răng không?
Liệu có thể chỉ sử dụng hàm duy trì thay thế cho niềng răng để điều chỉnh răng xô lệch không?
- 8 trả lời
- 3065 lượt xem
Các hướng dẫn chăm sóc răng miệng cơ bản khi đeo niềng răng và hàm duy trì
Nhiều người thắc mắc: “Tại sao niềng đã nắn thẳng răng rồi mà sau đó vẫn còn phải đeo hàm duy trì nữa?”.
Không phải tháo niềng răng là răng bạn sẽ thẳng đều mãi như thế về sau.
Nếu bạn đang nghiên cứu về các phương pháp nắn chỉnh răng thì bạn chắc chắn sẽ thấy hàm duy trì được nhắc đến rất nhiều. Nhưng hàm duy trì là gì và có hiệu quả như thế nào?
Sau khi hoàn thành quá trình niềng răng, chắc chắn bạn sẽ thấy rất hài lòng vì cuối cùng đã có hàm răng mà mình hằng mong muốn nhưng lúc này, bạn sẽ cần chuyển sang bước tiếp theo để hoàn thiện quy trình, đó là đeo hàm duy trì.










