Phân tích case: Niềng răng thành công cho bệnh nhân có răng bất đối xứng, răng cửa thưa, mọc lệch lạc
Bệnh nhân nữ 10 tuổi có kiểu răng mọc không đối xứng và lo lắng về khe thưa giữa các răng trước. Không có tiền sử y khoa liên quan.
Các răng có mặt là
- Hàm trên: 6EDC21| 2CDE6
- Hàm dưới: 6ED321| 123DE6
Từ hình 1 cho thấy: Tương quan răng cửa hạng I (xương hàm dưới ở tư thế ra trước trong ảnh chụp) với độ cắn chìa bình thường và độ cắn trùm giảm nhưng khép kín. Đường giữa hàm trên lệch trái 2 mm và tương quan răng hàm lớn là hạng II ½ núm bên phải và hạng II toàn bộ núm bên trái. Có cắn chéo răng sau 2 bên.
Tóm tắt các dấu hiệu X-quang (hình 2)
Tất cả các răng đều xuất hiện, gồm cả R21 và các răng hàm lớn thứ 3. R21 nằm theo hướng ngang và chân răng phát triển hoàn toàn. Không có dấu hiệu bệnh lý. Phim chụp cắt lớp vi tín với chùm tia hình nón (CBCT) xác nhận răng R21 bị lệch nhưng có tiên lượng kéo lên tốt.
Kế hoạch điều trị
Giai đoạn 1:
- Nong cung hàm trên: sử dụng khí cụ Quahelix
- Phẫu thuật bộc lộ và gắn mắc cài lên R21
- Kéo R21 lên bằng khí cụ edgewise sẵn thông số ở hàm trên (hình 3)
Giai đoạn 2:
- Xem xét lại tương quan với khí cụ edgewise sẵn thông số ở hàm dưới
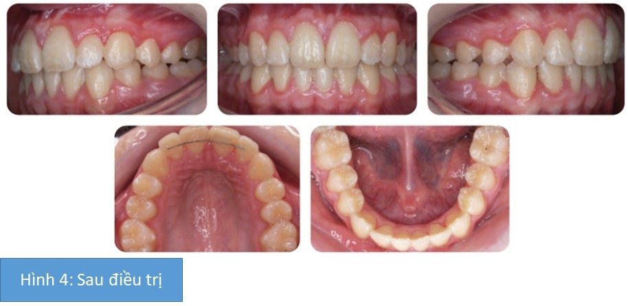
- Đeo hàm duy trì vĩnh viễn như hình 4
Kết quả cuối cùng hình 4.




