Phân tích case: Niềng răng thành công cho bệnh nhân có khớp cắn sâu phức tạp
Nha khoa Bauman Clinic
5 năm trước
Bệnh nhân nữ có tương quan răng cửa hạng II tiểu loại 2 trên nền xương hạng II trung bình và chiều cao tầng mặt dưới tăng nhẹ. Sai khớp cắn phức tạo bởi chen chúc nhẹ ở cung hàm trên và hàm dưới với độ cắn trùm tăng, độ cắn chìa giảm và tương quan răng hàm lớn hạng II ở 2 bên.
Kế hoạch điều trị
- Sửa tương quan bằng khí cụ chức năng kết hợp với khí cụ cố định phân đoạn để khử bù trừ ở nhóm răng trước hàm trên.
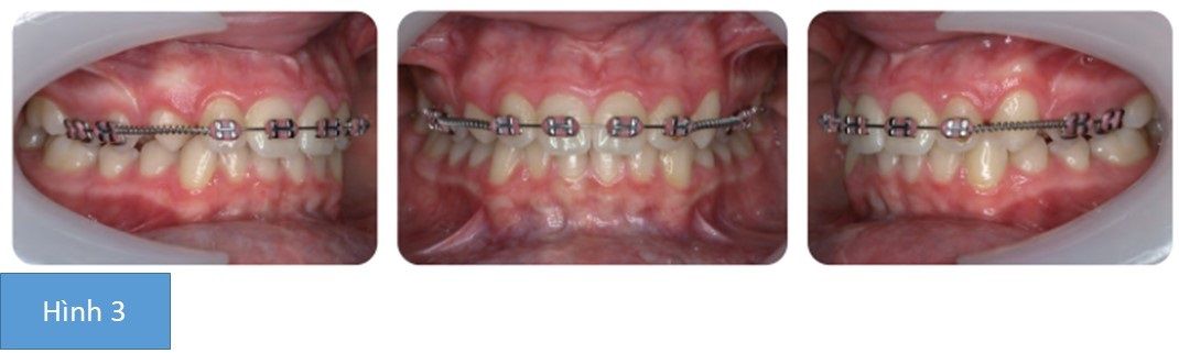
- Khí cụ cố định edgewise điều chỉnh sẵn để làm đều và nắn thẳng cung răng và tinh chỉnh khớp cắn
- Duy trì lâu dài.
Kết quả cuối cùng được thể hiện ở hình 5.




