Phân tích case: Niềng răng thành công cho bệnh nhân cắn hở phía trước và cắn chéo răng sau một bên
Bệnh nhân nữ 15 tuổi có sai lệch khớp cắn hạng I trên nền xương hạng II nhẹ với kích thước dọc tăng, phức tạp bởi chen chúc nhẹ, cắn chéo răng sau một bên cùng với lệch lạc và cắn hở phía trước.
Kế hoạch điều trị
Mục đích của điều trị là giảm chen chúc, làm đều và làm phẳng 2 cung hàm, sửa chữa cắn chéo và cắn hở phía trước, để đạt được tương quan răng cửa và răng hàm hạng I. Tình trạng cắn chéo ban đầu được sửa chữa bằng cách sử dụng khí cụ tháo lắp hàm trên với vít nong ở giữa. Phần chụp (capping) ở mặt ngoài ở các răng sau được thiết kế để tránh làm tồi tệ hơn cắn hở phía trước khi nong rộng hàm trên. Một khi cắn chéo được sửa chữa, cả 4 răng hàm lớn thứ hai được nhổ và máng đánh lún tùy chỉnh được gắn lên mặt nhau của các răng sâu hàm trên, cùng với chụp (capping), và gắn 2 cung khẩu cái đặt cách khẩu cái vào. Từng ốc vít nhỏ được gây tê và cắm vào 2 bên giữa chân răng của răng tiền hàm thứ hai và răng hàm lớn thứ nhất phía ngoài (Absoanchor 7mm x 1.4 mm). Lực đánh lún được đặt tác động lên răng bằng cách dùng lò xo Niti đã kích hoạt gắn vào mini-vít. Mini-vít bên phải lỏng và được thay thế bằng minivit thứ 2 (Infinitas 9mm x 1.5mm). Khi đạt được hiệu quả đánh lún, máng đánh lún được tháo ra và hệ thống khí cụ edgewise sẵn thông số hàm trên và hàm dưới được gắn vào. Các răng được làm đều và làm phẳng và có độ cắn trùm dương và cắn chìa dương. Khi khí cụ cố định được tháo bỏ, khí cụ duy trì dán dính hàm dưới được gắn vào và được bổ sung với hàm duy trì máng nhựa phủ mặt nhai ép chân không để đeo vào ban đêm.
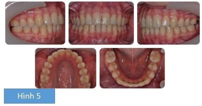
Kết quả cuối cùng được thể hiện ở Hình 5.




