Phân tích case: Niềng răng thành công cho bệnh nhân bị móm có sử dụng headgear kéo trước
Bệnh nhân nam 10 tuổi tới phòng khám nha khoa vì không thích vị trí của răng nanh hàm trên và khớp cắn. Không có tiền sử y khoa liên quan. Bệnh nhân có sai lệch khớp cắn hạng III với kiểu xương hạng III trung bình, chiều cao tầng mặt dưới trung bình, mức độ chen chúc nặng, R25 mọc ngầm và cắn chéo răng cửa mà không có trượt chức năng trên cung răng hỗn hợp giai đoạn cuối. (Hình 1)
Kế hoạch điều trị
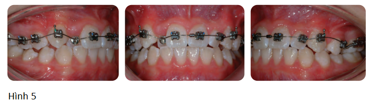
Bác sĩ sử dụng khí cụ nong nhanh hàm trên gắn với ốc HYRAX để gắn vào hàm trên và yêu cầu bệnh nhân kích hoạt ốc mỗi ngày 1 lần trong vòng 10 ngày liên tiếp. Sau đó, gắn headgear kéo trước và tác động một lực phía trước vào xương hàm trên thông qua thun kéo liên hàm giữa các hook gắn trên khí cụ và facemask của headgear kéo ra trước. Lực tăng dần trong 8 tuần để tới 400g hai bên và vị trí của thanh trên facemask được điều chỉnh sao cho lực song song với mặt phẳng cắn, giới hạn tác dụng xoay trên hàm trên. Bệnh nhân được khuyến cáo đeo facemask ít nhất 16 tiếng mỗi ngày.
Headgear kéo trước thường sử dụng cùng với khí cụ nong nhanh hàm trên bởi vì nhiều trường hợp sai khớp cắn hạng II có xương hàm trên cũng bị hẹp theo chiều ngang, dẫn đến chen chúc và cắn chéo răng sau. Theo lý thuyết, việc kết hợp sử dụng khí cụ nong hàm nhanh cũng làm lỏng hoặc tách khớp quanh xương hàm trên, làm di chuyển tổ hợp hàm trên xuống dưới và ra trước dưới lực của headgear.
Lý do cho việc sử dụng headgear kéo ra trước
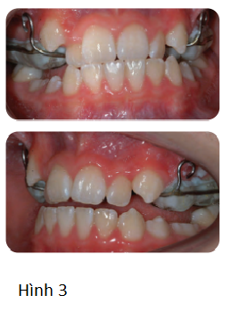
Phần lớn các trường hợp sai khớp cắn hạng III được thấy ở tuổi vị thành niên và thanh thiếu niên, những người có phần xương bên dưới biểu hiện thiểu sản xương hàm trên ít nhiều. Một cách lý tưởng, điều trị những trường hợp này nên đặt mục tiêu là làm chuyển hướng và kích thích tăng trưởng xương hàm trên theo chiều trước sau. Một cách để đạt được điều này là sử dụng lực ngoài mặt dưới dạng của headgear kéo ra trước. Nó được thiết kế để tạo hiệu ứng “chỉnh hiafnh” đạt được thay đổi xương cùng với di chuyển răng-xương ở răng. Facemask được đeo gần như 24 giờ/ngày nếu có thể, cho đến khi đạt được độ cắn chìa dương. Trong trường hợp này, độ cắn chìa được chỉnh sửa trong 9 tháng, và đạt được +4mm.
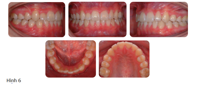
Kết quả cuối cùng: Hình 6




