Phân tích case: Niềng răng thành công cho bệnh nhân bị hô, cắn chìa đang độ tuổi phát triển
Bệnh nhân nữ 12 tuổi bị sai lệch khớp cắn hạng II tiểu loại I trên nền xương hạng II trung bình với kích thước dọc tăng, phức tạp bởi độ cắn chìa lớn (12mm), răng hàm trên và hàm dưới chen chúc. Bệnh nhân thường bị bạn bè trêu chọc về diện mạo răng-mặt.
Kế hoạch điều trị
- Cải thiện vệ sinh răng miệng
- Sử dụng khí cụ chức năng với headgear kéo chẩm
- Nhổ 4 răng tiền hàm và sử dụng khí cụ edgewire có sẵn thông số cho hàm trên và hàm dưới
- Đeo hàm duy trì
Theo như phân tích, bệnh nhân đang trong độ tuổi tăng trưởng, có kiểu xương hạng II và độ cắn chìa tăng (12mm) nên bác sĩ đã chỉ định bệnh nhân đeo khí cụ chức năng. Khí cụ chức năng khai thác lực được tạo ra bởi cơ mặt và miệng để tạo ra sự dịch chuyển răng. Về nguyên tắc, khí cụ chức năng giúp đẩy lùi những răng cửa hàm trên về phía sau và làm nhô những răng cửa hàm dưới ra phía trước, góp phần sửa chữa tương quan răng cửa. Ngoài ra còn ngăn cản tăng trưởng hàm trên và thúc đẩy tăng trưởng hàm dưới.
Sau khi đeo khí cụ chức năng, bệnh nhân được gắn niềng để nắn thẳng răng ở 2 cung hàm và hoàn thiện việc tinh chỉnh khớp cắn. Việc nhổ 4 răng tiền hàm thứ 2 được cho là cần thiết để giảm mức độ chen chúc. Do đó hệ thống niềng răng góp phần đóng lại tất cả các khoảng trống do nhổ răng và dàn thẳng răng để lại.
Kết quả điều trị phụ thuộc nhiều vào sự hợp tác đeo khí cụ chức năng của bệnh nhân.
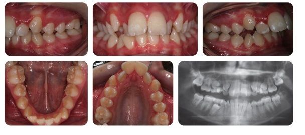
Sau khi tháo niềng, bệnh nhân có nụ cười đẹp, tự tin. Răng thẳng đều, không còn tình trạng chen chúc hay hô vẩu. Răng hàm trên và hàm dưới được lồng múi tối đa. Tương quan khớp cắn trở về loại I.




