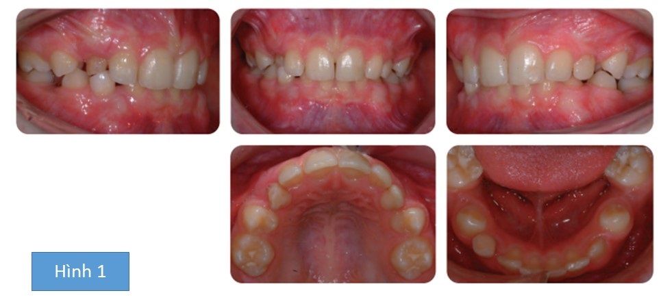
Phân tích case: Niềng răng thành công cho bệnh nhân 10 tuổi có các răng số 5 mọc ngầm và R21 chết tủy
Bệnh nhân nam 10 tuổi có bộ răng hỗn hợp, có tương quan răng cửa hạng I trên kiểu xương hạng I với các kích thước dọc trung bình, phức tạp bởi:
- Các răng hàm nhỏ thứ 2 mọc ngầm ở cả 2 cung hàm trên và dưới
- Tương quan răng hàm lớn hạng II hai bên
- Cắm trùm tăng
- Các răng hàm nhỏ thứ nhất hàm dưới xoay
- R21 chết tủy
Cân nhắc lựa chọn điều trị
Có chen chúc ở cả 2 cung răng, đặc biệt là cung răng trên bị chen chúc nghiêm trọng. Để nắn thẳng các răng của cung hàm trên, cần phải nhổ răng hàm nhỏ kết hợp với sử dụng headgear để tăng cường neo chặn. Ở cung hàm dưới, nhổ răng hàm nhỏ cũng được cân nhắc để giảm chen chúc. Điều trị sau đó sẽ phải cần dùng tới khí cụ cố định hàm trên và hàm dưới.
Tuy nhiên, cung hàm dưới có thể được điều trị trên cơ sở không nhổ răng, tạo lại khoảng cho 2 răng hàm nhỏ thứ 2 hàm dưới mọc lên. Trong trường hợp này, các răng tiền hàm thứ nhất hàm trên được nhổ bỏ dưới gây tê tại chỗ và khoảng trống được tạo ra ở cung hàm dưới để điều trị chen chúc theo hướng không nhổ răng. Điều này giúp tránh được việc nhổ 2 răng hàm nhỏ thứ 2 hàm dưới, mà nếu nhổ sẽ cần nhổ răng phẫu thuật dưới gây mê. Tuy nhiên, cần có khoảng trống duy trì ở cung hàm trên cho tới khi các răng hàm nhỏ thứ 2 mọc.
Nguyên nhân các răng hàm nhỏ thứ 2 mọc ngầm trong trường hợp này:
Các răng hàm nhỏ thứ 2 mọc ngầm có thể liên quan tới việc mất sớm các răng hàm sữa thứ 2 dẫn tới kết quả là di gần (và xoay trong cung hàm trên) của các răng hàm lớn vĩnh viễn thứ nhất, dẫn đến mất khoảng. Những răng hàm sữa thứ 2 nhiều khả năng mất do sâu răng; các răng hàm lớn vĩnh viễn thứ nhất có những hố rãnh đã trám bít và chưa được phục hồi.
Nếu các răng hàm nhỏ thứ 2 tiếp tục mọc mà không có khoảng trống được tạo ra thì răng hàm nhỏ thứ 2 sẽ mọc ở đâu?
Những răng hàm nhỏ thứ 2 có khả năng mọc về phía khẩu cái (cung hàm trên) và phía lưỡi (cung hàm dưới)
Trường hợp này bác sĩ sử dụng thêm khí cụ là hàm chặn môi (Hình 3) với mục đích:
Hàm chặn môi là một miếng nhựa acrylic ở phía trước những răng cửa hàm dưới. Nó cũng có một loop chữ U ở phía gần răng hàm lớn thứ nhất; nó được kích hoạt và buộc vào răng hàm lớn thứ nhất. Lực của cơ tạo ra do môi đặt 1 lực về phía xa trên miếng nhựa và truyền lực tới răng hàm lớn thứ nhất. Cuối cùng, lực này có thể dẫn tới việc di xa răng và nghiêng xa răng hàm lớn vĩnh viễn thứ nhất, tạo đủ khoảng cho răng hàm nhỏ thứ 2 hàm dưới mọc lên.
Nhược điểm của việc sử dụng hàm chặn môi
Bất cứ việc di xa nào của răng hàm thường xảy ra cùng với răng cửa hàm dưới nghiêng ngoài, điều này có thể không ổn định. Việc tăng chiều rộng cung răng, đặc biệt khoảng liên răng nanh và khoảng liên răng hàm sữa và răng hàm nhỏ cũng có thể tái phát. Hơn nữa, những khí cụ này có thể khá khó chịu và dễ gãy. Việc di xa răng hàm lớn thứ nhất hàm dưới cũng có thể dẫn đến làm kẹt răng hàm lớn thứ 2.




