Phân tích case: Niềng răng kết hợp phẫu thuật hàm cho bệnh nhân bị móm và cằm lệch trái
Nha khoa Bauman Clinic
5 năm trước
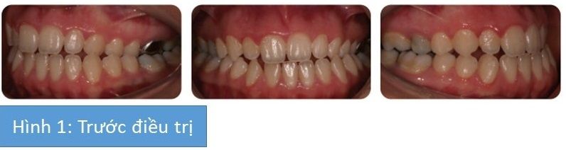
Bệnh nhân nữ 19 tuổi có sai khớp cắn hạng III trên nền xương hạng III trung bình với kích thước dọc trung bình phức tạp bởi sự mất cân đối bên trái của hàm dưới và cắn chéo 1 bên.
Kế hoạch điều trị
- Hướng dẫn vệ sinh răng miệng và thực hiện phục hồi răng
- Khí cụ edgewise sẵn thông số hàm trên và hàm dưới, không nhổ răng
- Phẫu thuật đẩy lùi xương hàm dưới bất cân đối
- Duy trì kéo dài.




