Hình ảnh niềng răng mắc cài cho bé 14 tuổi – Nha khoa Peace Dentistry – Ca 20
Bs nha khoa Peace Dentistry
5 năm trước
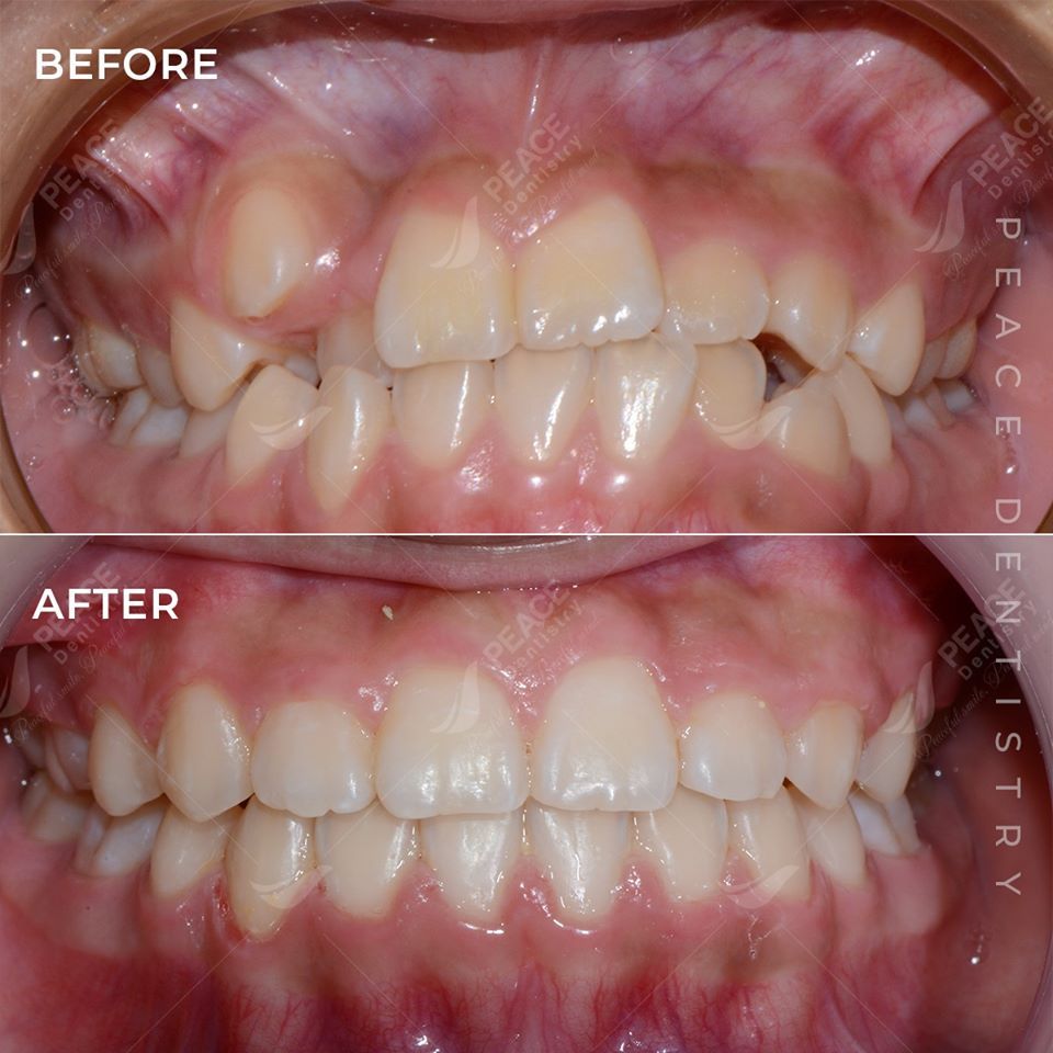
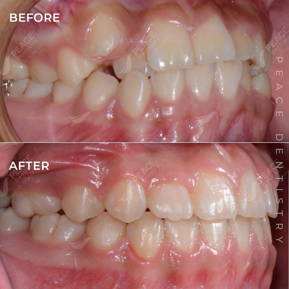
Trước điều trị:
- Răng chen chúc (răng mọc lệch gồm nhiều răng ở cả 2 hàm), cắn ngược R12, khớp cắn hạng III, lệch đường giữa.
- Hơi ái ngại trong giao tiếp với bạn bè, có chút khó khăn trong việc nhai đồ ăn dai, khó khăn trong vệ sinh răng, hay bị chảy máu chân răng khi đánh răng.
Chỉ định điều trị chính:
- Chỉnh nha mắc cài kim loại
- Tái khám: 1 tháng /1 lần
- Thời gian hoàn thành dự báo: 17 – 20 tháng
Kết quả điều trị (Sau 17 tháng):
- Răng đều, cung răng chuẩn
- Khớp cắn chuẩn
- Sức nhai khỏe, ăn uống hoàn toàn thoải mái.
- Răng sát khít
- Hoàn toàn khắc phục triệt để tình trạng răng cửa lệch đường giữa.




