Hình ảnh niềng răng cho BN bị hô, răng chen chúc trong 20 tháng – Nha khoa Peace Dentistry - Ca 13
Bs nha khoa Peace Dentistry
5 năm trước
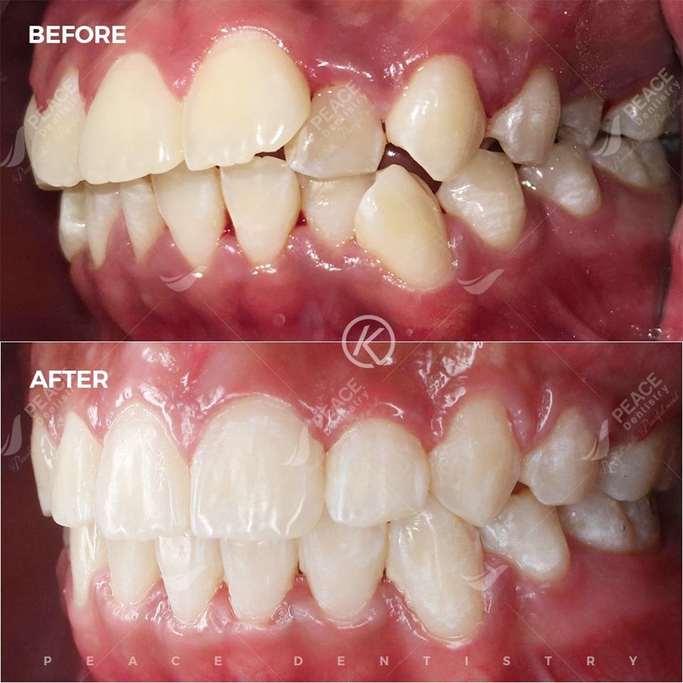
Tình trạng: Bạn nam sinh viên 22 tuổi đến Peace Dentistry với những than phiền chính yếu: răng hô, mọc chen chúc (răng lệch lạc), ăn nhai và vệ sinh răng miệng hơi bất tiện.
Chẩn đoán: (thông qua hoạt động khám lâm sàng và film toàn cảnh Panoramic với hệ thống X-quang kỹ thuật số Gendex 700 Siries - USA)
- Sai khớp cắn hạng I, nhô răng 2 hàm
- Răng chen chúc
Chỉ định điều trị:
- Niềng răng mắc cài kim loại (buộc thun)
- Nhổ 4 răng cối nhỏ
- Tái khám 1 tháng/1 lần
- Thời gian dự đoán: 20 - 22 tháng
Kết quả điều trị: (Sau 20 tháng)
- Khớp cắn chuẩn
- Cung răng đẹp
- Răng đều, sát khít các răng
- Răng khỏe, chức năng ăn nhai tốt.
- Nụ cười đẹp, thẩm mỹ khuôn mặt được cải thiện rõ rệt, khuôn mặt cân đối.




