Phân tích case: Chỉnh nha ngụy trang cho bệnh nhân bị hô hàm, răng mọc chen chúc
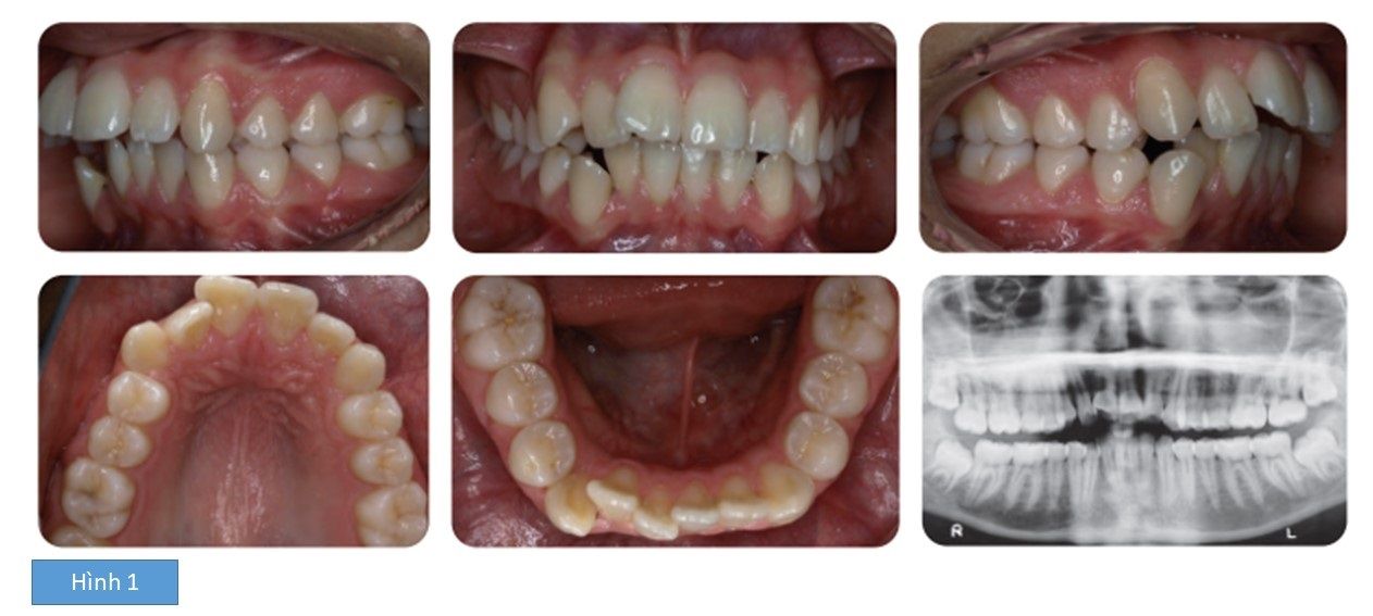
Bệnh nhân nữ 16 tuổi, băn khoăn về khe hở giữa các răng. Bệnh nhân bị sai lệch khớp cắn hạng II tiểu loại I trên nền xương loại II với kích thước dọc giảm, phức tạp bởi độ cắn chìa lớn (8mm), chen chúc cả 2 cung răng và hô 2 hàm (hình 1)
Kế hoạch điều trị
- Cải thiện vệ sinh răng miệng
- Sử dụng khí cụ Tip Edge cho cả 2 hàm, nhổ 2 răng tiền hàm thứ nhất hàm trên và 2 răng tiền hàm thứ 2 hàm dưới.
- Đeo hàm duy trì vĩnh viễn.
Qua thăm khám bác sĩ nhận thấy bệnh nhân bị sai lệch xương hạng II mức độ trung bình, phù hợp với chỉnh nha ngụy trang (Chỉnh nha ngụy trang là sửa chữa tương quan răng cửa trong khi chấp nhận sai lệch xương bên dưới. Ngụy trang là cố gắng để che đậy sự bất cân đối xương bên dưới trong cả 3 mặt phẳng không gian). Việc nhổ 2 răng tiền hàm thứ nhất hàm trên tạo điều kiện để giảm cắn chìa khi kéo lui nhóm răng trước hàm trên. Răng hàm nhỏ thứ 2 hàm dưới được nhổ để giảm chen chúc, tạo điều kiện để di gần răng hàm lớn thứ nhất hàm dưới để sửa chữa tương quan răng hàm và kéo lui những răng cửa hàm dưới tối thiểu.
Tip Edge là khí cụ chỉnh nha cố định trong bộ khí cụ Begg. Nó rất hiệu quả cho ngụy trang hạng II. Trường hợp này cần neo chặn đáng kể bởi vì độ cắn chìa tăng, tương quan răng hàm hạng II và có chen chúc. Tip Edge cho phép di chuyển các răng khác chiều với lực kéo khi móc chun loại II nhẹ từ lúc bắt đầu, cho phép nghiêng xa các răng hàm trên và nghiêng gần cung hàm dưới.
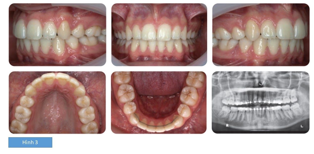
Kết quả: bệnh nhân đạt được tương quan răng loại I, độ cắn chìa giảm đáng kể và răng thẳng hàng, đều đặn, hết chen chúc. (hình 3)




