Bắt đầu đeo niềng
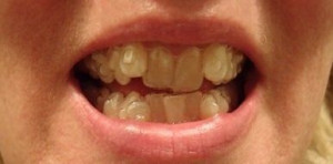
Hôm nay mình quay lại phòng khám để tiến hành niềng răng bằng niềng trong suốt Invisalign sau khi đến lấy khuôn răng lần trước. Khi mình nằm xuống ghế, bác sĩ cho mình đeo dụng cụ banh miệng để dễ thao tác bên trong miệng hơn. Bước đầu tiên là bác sĩ tiến hành mài ở giữa hai răng cửa của mình để tạo khoảng trống dịch chuyển răng. Bước này không được dễ chịu lắm nhưng mình cũng không thấy đau.
Sau đó, bác sĩ gắn các nút chặn lên răng mình, đó là những cục nhỏ có màu giống như răng, có tác dụng giữ khay niềng cố định tại vị trí. Ban đầu, mình dự tính là làm trong khoảng một tiếng nhưng quá trình thực tế lại mất đến một tiếng rưỡi. Bước cuối cùng là bác sĩ đặt khay niềng lên răng. Lúc lắp vào răng thì mình cảm thấy hơi cộm và vướng nhưng không đau. Sau đó thì bác sĩ bảo mình thử tháo khay niềng ra. Mình cứ nghĩ là dễ nhưng thử mãi mà không được nên cuối cùng bác sĩ phải gỡ ra cho mình rồi lắp lại. Lúc ra về và soi gương thì mình hầu như khay niềng không hề bị lộ giống như niềng kim loại truyền thống. Mình thử tháo niềng nhưng mà nó bám rất chắc. Mình cố cạy một lúc thì được nhưng khá đau. Tất nhiên niềng răng là phải đau rồi, còn ăn uống khó khăn nữa chứ.
Sau khi ăn thì mình bắt đầu đi rửa khay niềng. Lúc này thì mình vẫn chưa biết là mình cần phải đánh răng và dùng chỉ nha khoa sau khi ăn nhưng mình cảm thấy là nên rửa khay niềng trước khi gắn lại lên răng. Sau một lúc lâu thì mình đã gắn được khay niềng vào vị trí.
Nha sĩ của mình nói là mình có thể uống cà phê nhưng không được cho đường khi đang dùng niềng trong suốt nhưng theo như mình đọc được trên mạng thì không nên uống cà phê. Chẳng biết phải nghe bên nào nữa.
Bữa tối mình ra ngoài ăn và có uống rượu vang. Vì mình không muốn tháo niềng ra ở nơi đông người nên cứ để nguyên như vậy. Sau khi về thì mình có tháo khay niềng ra, đánh răng, dùng chỉ nha khoa và lắp niềng lại. Lúc này thì mình vẫn thấy chưa quen nên miệng vấn thấy vướng và cộm.
Ngày hôm sau
Hôm nay là ngày đầu tiên sau khi mình bắt đầu đeo niềng răng. Không hiểu sao sau khi niềng răng bụng mình thấy không được ổn lắm. Mình đã thử đọc các bài đánh giá trên mạng và thấy nhiều người khác cũng gặp hiện tượng này. Mình nghĩ là do tâm lý nhưng cũng có thể là do chất liệu nhựa của khay niềng. Sau đó mình mới tìm hiểu ra là cần phải rửa khay niềng trước khi sử dụng để tránh hiện tượng này.
Trước khi ăn sáng mình lại phải tháo niềng ra và vẫn rất đau. Phải mất một lúc lâu mình mới cạy niềng ra khỏi răng được. Lúc ăn đồ cứng mình cảm thấy răng bị đau nên chỉ nhai một cách nhẹ nhàng. Bữa sáng nay kéo dài 38 phút, quá mất 8 phút so với quy định.
Mình giảm hẳn được thói quen ăn vặt vì không muốn phải tháo niềng ra rồi lắp lại. Bây giờ chưa đến bữa trưa mà mình đã thấy lo rồi.
Sau khi ăn thì mình có uống cà phê luôn rồi súc miệng và lắp lại khay niềng vào. Tổng thời gian mình tháo niềng trưa nay là 40 phút, bữa sáng mình đã quá mất 8 phút nên sẽ phải giảm 10 phút vào bữa tối để đảm bảo đeo niềng đủ 22 tiếng một ngày. Mình sẽ hỏi lại bác sĩ xem chứ mình nghĩ là không thể chỉ tháo niềng 2 tiếng mỗi ngày được.
Một tuần sau
Đã kết thúc tuần niềng răng đầu tiên. Sáng nay mình đến gặp nha sĩ để theo dõi những tiến triển của răng. Bác sĩ nói là mình vẫn cần điều chỉnh chiếc răng bên trái ở hàm trên. Mình nghĩ bộ niềng của mình có nhiều nút chặn hơn bình thường thì phải. Số nút chặn trên niềng của mình là 20, thậm chí còn có 2 nút chặn trên cùng một răng vì răng nanh của mình nằm lệch hẳn ra khỏi hàng. Mình đang hơi không thoải mái về các nút chặn. Chúng có kích thước không hề nhỏ, khay niềng thì trong suốt nhưng mà các nút chặn thì lộ rất rõ. Mình cũng nói với bác sĩ là không thể nào giữ niềng trong miệng trong 22 tiếng một ngày được. Mỗi khi tháo niềng mình cứ phải căn từng phút một rồi nhanh nhanh chóng chóng đánh răng, dùng chỉ nha khoa, rửa khay niềng và lắp lại.
Bác sĩ phát cho mình hai bộ khay niềng tiếp theo và sau đó mình sẽ quay lại sau khoảng hơn 1 tháng nữa. Sau đấy thì bác sĩ nói là có thể giảm xuống đeo niềng trong 21 tiếng/ngày cũng được, không cần đủ 22 tiếng. May quá! Theo những gì mà mình đọc được thì nếu không tuân thủ đúng việc đeo niềng mỗi ngày thì thời gian niềng răng sẽ càng kéo dài thêm nên mình sẽ cố gắng chú ý đeo đủ mỗi ngày.
Một tuần sau
Tối nay mình bắt đầu chuyển sang khay niềng thứ hai. Thế là đã được 2 khay trên tổng số 32 khay. Còn lâu quá.
Chiều này mình có uống cà phê nhưng phải sử dụng ống hút để không phải tháo niềng. Mình nghĩ là đằng nào tối cũng thay khay mới nên có bị bẩn cũng không sao cả.
Lúc ăn tối thì mình thấy là răng có hơi nhạy cảm và mới nhớ ra mấy hôm trước mình đánh răng bằng kem tẩy trắng mà không dùng kem Sensodyne như mọi khi.
Sau khi ăn xong thì mình quyết định là sẽ thay khay niềng mới luôn. Mình đọc trên mạng thì thấy mọi người khuyên là nên đặt khay niềng mới vào buổi tối trước khi đi ngủ và uống thuốc giảm đau. Khay thứ hai này chặt hơn khay trước. Việc lắp vào cũng không dễ dàng chút nào. Và chắc chắn lúc gỡ ra vào sáng mai sẽ lại khó khăn như lúc mới dùng bộ niềng trước. Mình đã bị gãy móng tay rất nhiều lần do tháo lắp niềng rồi. Giờ mình còn bị nổi vài nốt sần ở bên trong môi trên. Mình phát hiện ra tình trạng này từ ngay sau tuần đầu tiên và có nói với nha sĩ thì được bảo là vấn đề này không sao cả. Mình thấy có người nói là cắt bớt phần rìa của khay niềng đi để không cọ vào bên trong môi nhưng mình không biết làm nên cứ để vậy và sẽ chú ý hơn đến các vết xước trong môi. Vậy là đã kết thúc hai tuần đầu tiên và chuyển sang khay niềng thứ hai. Việc niềng răng có đã ảnh hưởng không nhỏ đến cuộc sống thường ngày của mình nhưng tất nhiên là vẫn phải tiếp tục rồi.
Hôm nay mình quay lại phòng khám để tiến hành niềng răng bằng niềng trong suốt Invisalign sau khi đến lấy khuôn răng lần trước. Khi mình nằm xuống ghế, bác sĩ cho mình đeo dụng cụ banh miệng để dễ thao tác bên trong miệng hơn. Bước đầu tiên là bác sĩ tiến hành mài ở giữa hai răng cửa của mình để tạo khoảng trống dịch chuyển răng. Bước này không được dễ chịu lắm nhưng mình cũng không thấy đau.
Sau đó, bác sĩ gắn các nút chặn lên răng mình, đó là những cục nhỏ có màu giống như răng, có tác dụng giữ khay niềng cố định tại vị trí. Ban đầu, mình dự tính là làm trong khoảng một tiếng nhưng quá trình thực tế lại mất đến một tiếng rưỡi. Bước cuối cùng là bác sĩ đặt khay niềng lên răng. Lúc lắp vào răng thì mình cảm thấy hơi cộm và vướng nhưng không đau. Sau đó thì bác sĩ bảo mình thử tháo khay niềng ra. Mình cứ nghĩ là dễ nhưng thử mãi mà không được nên cuối cùng bác sĩ phải gỡ ra cho mình rồi lắp lại. Lúc ra về và soi gương thì mình hầu như khay niềng không hề bị lộ giống như niềng kim loại truyền thống. Mình thử tháo niềng nhưng mà nó bám rất chắc. Mình cố cạy một lúc thì được nhưng khá đau. Tất nhiên niềng răng là phải đau rồi, còn ăn uống khó khăn nữa chứ.
Sau khi ăn thì mình bắt đầu đi rửa khay niềng. Lúc này thì mình vẫn chưa biết là mình cần phải đánh răng và dùng chỉ nha khoa sau khi ăn nhưng mình cảm thấy là nên rửa khay niềng trước khi gắn lại lên răng. Sau một lúc lâu thì mình đã gắn được khay niềng vào vị trí.
Nha sĩ của mình nói là mình có thể uống cà phê nhưng không được cho đường khi đang dùng niềng trong suốt nhưng theo như mình đọc được trên mạng thì không nên uống cà phê. Chẳng biết phải nghe bên nào nữa.
Bữa tối mình ra ngoài ăn và có uống rượu vang. Vì mình không muốn tháo niềng ra ở nơi đông người nên cứ để nguyên như vậy. Sau khi về thì mình có tháo khay niềng ra, đánh răng, dùng chỉ nha khoa và lắp niềng lại. Lúc này thì mình vẫn thấy chưa quen nên miệng vấn thấy vướng và cộm.
Ngày hôm sau
Hôm nay là ngày đầu tiên sau khi mình bắt đầu đeo niềng răng. Không hiểu sao sau khi niềng răng bụng mình thấy không được ổn lắm. Mình đã thử đọc các bài đánh giá trên mạng và thấy nhiều người khác cũng gặp hiện tượng này. Mình nghĩ là do tâm lý nhưng cũng có thể là do chất liệu nhựa của khay niềng. Sau đó mình mới tìm hiểu ra là cần phải rửa khay niềng trước khi sử dụng để tránh hiện tượng này.
Trước khi ăn sáng mình lại phải tháo niềng ra và vẫn rất đau. Phải mất một lúc lâu mình mới cạy niềng ra khỏi răng được. Lúc ăn đồ cứng mình cảm thấy răng bị đau nên chỉ nhai một cách nhẹ nhàng. Bữa sáng nay kéo dài 38 phút, quá mất 8 phút so với quy định.
Mình giảm hẳn được thói quen ăn vặt vì không muốn phải tháo niềng ra rồi lắp lại. Bây giờ chưa đến bữa trưa mà mình đã thấy lo rồi.
Sau khi ăn thì mình có uống cà phê luôn rồi súc miệng và lắp lại khay niềng vào. Tổng thời gian mình tháo niềng trưa nay là 40 phút, bữa sáng mình đã quá mất 8 phút nên sẽ phải giảm 10 phút vào bữa tối để đảm bảo đeo niềng đủ 22 tiếng một ngày. Mình sẽ hỏi lại bác sĩ xem chứ mình nghĩ là không thể chỉ tháo niềng 2 tiếng mỗi ngày được.
Một tuần sau
Đã kết thúc tuần niềng răng đầu tiên. Sáng nay mình đến gặp nha sĩ để theo dõi những tiến triển của răng. Bác sĩ nói là mình vẫn cần điều chỉnh chiếc răng bên trái ở hàm trên. Mình nghĩ bộ niềng của mình có nhiều nút chặn hơn bình thường thì phải. Số nút chặn trên niềng của mình là 20, thậm chí còn có 2 nút chặn trên cùng một răng vì răng nanh của mình nằm lệch hẳn ra khỏi hàng. Mình đang hơi không thoải mái về các nút chặn. Chúng có kích thước không hề nhỏ, khay niềng thì trong suốt nhưng mà các nút chặn thì lộ rất rõ. Mình cũng nói với bác sĩ là không thể nào giữ niềng trong miệng trong 22 tiếng một ngày được. Mỗi khi tháo niềng mình cứ phải căn từng phút một rồi nhanh nhanh chóng chóng đánh răng, dùng chỉ nha khoa, rửa khay niềng và lắp lại.
Bác sĩ phát cho mình hai bộ khay niềng tiếp theo và sau đó mình sẽ quay lại sau khoảng hơn 1 tháng nữa. Sau đấy thì bác sĩ nói là có thể giảm xuống đeo niềng trong 21 tiếng/ngày cũng được, không cần đủ 22 tiếng. May quá! Theo những gì mà mình đọc được thì nếu không tuân thủ đúng việc đeo niềng mỗi ngày thì thời gian niềng răng sẽ càng kéo dài thêm nên mình sẽ cố gắng chú ý đeo đủ mỗi ngày.
Một tuần sau
Tối nay mình bắt đầu chuyển sang khay niềng thứ hai. Thế là đã được 2 khay trên tổng số 32 khay. Còn lâu quá.
Chiều này mình có uống cà phê nhưng phải sử dụng ống hút để không phải tháo niềng. Mình nghĩ là đằng nào tối cũng thay khay mới nên có bị bẩn cũng không sao cả.
Lúc ăn tối thì mình thấy là răng có hơi nhạy cảm và mới nhớ ra mấy hôm trước mình đánh răng bằng kem tẩy trắng mà không dùng kem Sensodyne như mọi khi.
Sau khi ăn xong thì mình quyết định là sẽ thay khay niềng mới luôn. Mình đọc trên mạng thì thấy mọi người khuyên là nên đặt khay niềng mới vào buổi tối trước khi đi ngủ và uống thuốc giảm đau. Khay thứ hai này chặt hơn khay trước. Việc lắp vào cũng không dễ dàng chút nào. Và chắc chắn lúc gỡ ra vào sáng mai sẽ lại khó khăn như lúc mới dùng bộ niềng trước. Mình đã bị gãy móng tay rất nhiều lần do tháo lắp niềng rồi. Giờ mình còn bị nổi vài nốt sần ở bên trong môi trên. Mình phát hiện ra tình trạng này từ ngay sau tuần đầu tiên và có nói với nha sĩ thì được bảo là vấn đề này không sao cả. Mình thấy có người nói là cắt bớt phần rìa của khay niềng đi để không cọ vào bên trong môi nhưng mình không biết làm nên cứ để vậy và sẽ chú ý hơn đến các vết xước trong môi. Vậy là đã kết thúc hai tuần đầu tiên và chuyển sang khay niềng thứ hai. Việc niềng răng có đã ảnh hưởng không nhỏ đến cuộc sống thường ngày của mình nhưng tất nhiên là vẫn phải tiếp tục rồi.



